Rabu, 03 Mei 2017

'Exercise-in-a-pill' boosts athletic endurance by 70 percent - Medical Xpress


Medical Xpress

'Exercise-in-a-pill' boosts athletic endurance by 70 percent
Medical Xpress
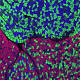
Salk scientists move one step closer to developing 'exercise-in-a-pill.' Partial view of a mouse calf muscle stained for different types of muscle fibers: oxidative slow-twitch (blue), oxidative fast-twitch (green), glycolytic fast-twitch (red). Credit ...
'Exercise-in-a-pill' boosts athletic endurance by 70 percent Salk InstituteEurekAlert (press release)
Exercise in a pill? Salk Institute scientists report success — in miceThe San Diego Union-Tribune
'Exercise in a Pill' Could Boost Endurance Without the Need for TrainingSeeker

all 15 news articles »


from Health - Google News http://ift.tt/2pXyzwg


EmoticonEmoticon